UNIVERSITY ORTHOPAEDIC CLINIC

Adult Deformities

The treatment of deformities in advanced age has undergone rapid development in recent years. New scientific findings as well as modern implants nowadays allow a significant increase in the quality of life even at an advanced age and in the case of severe deformities. Especially the so-called sagittal (lateral) deformities lead to severe discomfort. Patients often report a feeling of being pushed forward as well as diffuse, muscle ache-like pain in the legs. Even in cases of persistent pain after spinal surgery has been performed, in some cases a sagittal deformity is the actual cause of the discomfort. The Orthopedic Clinic specializes in such cases and regularly treats patients with deformities at an advanced age.

Adulte Def. IAdulte Def. II

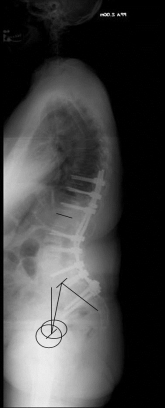
X-ray image before and after surgery. The patient underwent spinal surgery at another hospital and increasingly developed other complaints. The X-ray showed a complete loss of the hollow back and a resulting change in balance. A so-called lordosis operation led to a restoration of a normal hollow back and thus a normal spinal balance and finally to regressive complaints.

Last Modification: 23.02.2021 - Contact Person:

Sie können eine Nachricht versenden an: Webmaster
Sicherheitsabfrage:
Captcha
 
Lösung: