UNIVERSITY CLINIC FOR CARDIAC AND THORACIC SURGERY

Research

Our interdisciplinary team of scientists conducts research on heart surgery issues.

 

Gesundheitscampus

The focus of research at the University Department of Cardiac Surgery in the Medical Faculty of the Otto von Guericke University Hospital Magdeburg is shown below:

1. Cardiovascular tissue engineering

2. Cardiovascular inflammatory research

 

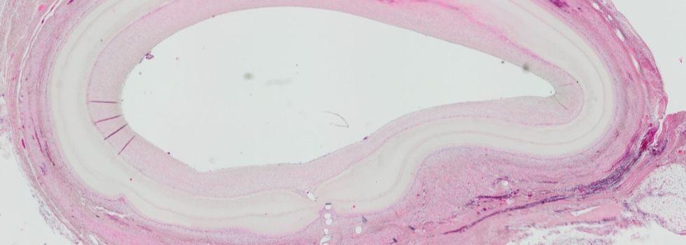
Cardiovascular Tissue Engineering

Artificial Bypass - Tissue Engineering in Cardiac Surgery

With a share of more than 50%, bypass surgery represents the largest share in the cardiac surgery portfolio. Every year alone in the US and Germany together… more.

 

Last Modification: 02.10.2019 - Contact Person:

Sie können eine Nachricht versenden an: Webmaster
Sicherheitsabfrage:
Captcha
 
Lösung: